When a 65-year-old woman from South Korea visited the doctor for knee pain, they certainly didn’t anticipate discovering something remarkable. But that’s precisely what happened.
Unwanted stomach issues
Dealing with osteoarthritis can be extremely tough. This condition slowly deteriorates the cartilage in your joints, resulting in stiffness, swelling, and ongoing pain that can turn even the simplest daily activities into a struggle.
Tasks that used to be straightforward — such as climbing stairs, bending down to tie your shoes, or even walking short distances — can become painful and sluggish.
The woman in this narrative had been battling osteoarthritis, and she mentioned that pain relievers and anti-inflammatory drugs provided minimal relief while causing unwanted stomach problems.

So she decided to try acupuncture, as noted in a case published in the New England Journal of Medicine.
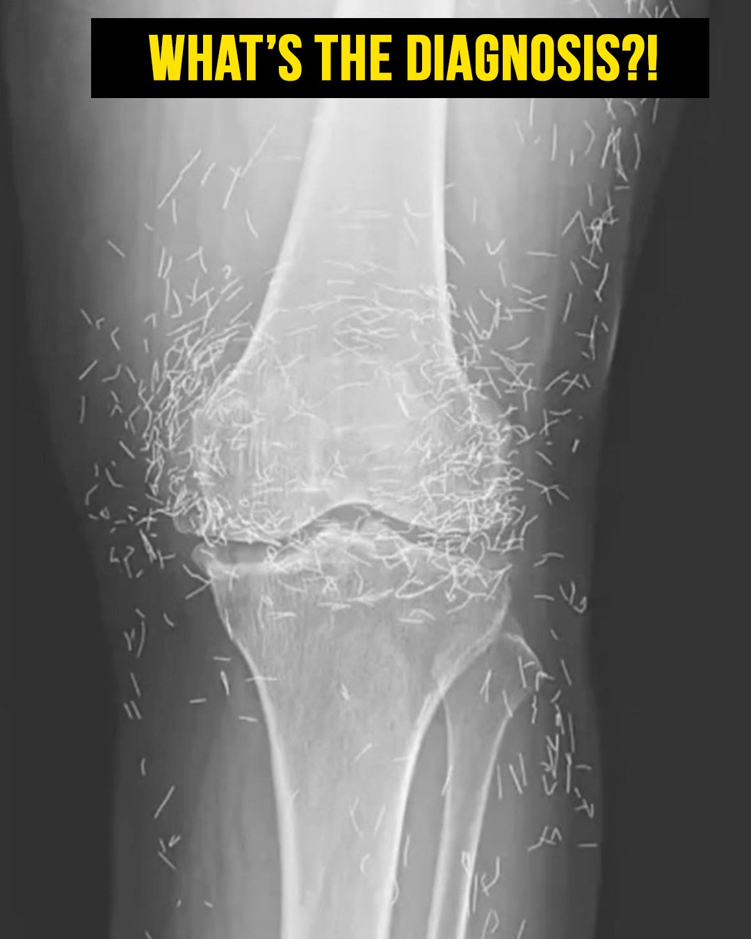
Acupuncture, an alternative treatment that has been around for centuries, involves the insertion of needles into specific points on the body to alleviate pain or address various health issues. In this particular case, the needles—likely made of gold—were deliberately left in her knees to provide ongoing stimulation.
However, leaving needles in the body carries certain risks.
“Foreign objects left inside the body can lead to inflammation, abscesses, and infection,” stated Dr. Ali Guermazi, a radiology professor at Boston University who was not part of the case.
Foreign invaders
He also cautioned that needles left embedded can interfere with X-ray interpretations. “The needles may obscure some of the anatomy,” Guermazi mentioned in 2013.
Additionally, the body does not always react well to foreign objects, and the response can manifest as a foreign body reaction or a chronic inflammatory response.
“The human body aims to eliminate the foreign object,” Guermazi elaborated. “It begins with a defense mechanism, such as inflammation and the formation of [fibrous tissue] around the object.”

Even more alarming, leaving needles in the body can pose risks for future medical imaging. “The patient cannot undergo an MRI because the needles left inside may shift and harm an artery,” Guermazi noted.
The proof that acupuncture effectively addresses medical issues is scarce. Nevertheless, it continues to be a favored choice for joint pain, particularly in certain Asian nations where the practice of inserting tiny strands of sterile gold thread around a joint is a typical treatment for arthritis.
In the United States, acupuncture is also commonly practiced — approximately 3.1 million adults and 150,000 children received this treatment in 2007, as reported by the U.S. National Institutes of Health’s National Center for Complementary and Alternative Medicine.
For this woman, her knees filled with gold serve as a vivid reminder that sometimes, alternative medicine can leave more than just a trace — it can result in a literal treasure trove.
